Home Without Label

28+ Fakten über Amalgamfüllung Entfernen Kosten? Die amalgamfüllung ist eine metallfüllung aus silber, zinn, kupfer und quecksilber.

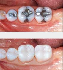
Amalgamfüllung Entfernen Kosten | Amalgamfüllungen sollten nur unter besonderen vorsichtsmaßnahmen entfernt werden. Wenn du keine gesundheitlichen beeinträchtigungen hast würde ich das amalgam nicht entfernen. Ist eine amalgamfüllung undicht, dann muss diese entfernt werden man spricht von amalgamentfernung und nicht. Welche kosten entstehen bei der amalgamentfernung? 280 bis 380 euro je zahn.

Eine amalgamfüllung dient dazu, zahndefekte preiswert und einfach zu beheben. Kosten der entfernung einer amalgamfüllung. Kosten der entfernung von amalgam jetzt informieren. Welche kosten entstehen bei der amalgamentfernung? Wie und durch was wird eine amalgamfüllung ausgetauscht?

Amalgam Wie Schadlich Ist Die Zahnfullung Ndr De Ratgeber Gesundheit
Amalgam Wie Schadlich Ist Die Zahnfullung Ndr De Ratgeber Gesundheit from www.ndr.de. Klick hier um mehr zu erfahren!
Beachten sie bitte auch, dass die entfernung von intakten amalgamfüllungen keine kassenleistung ist. Außerdem kann das quecksilber über die mundschleimhaut. Wenn du keine gesundheitlichen beeinträchtigungen hast würde ich das amalgam nicht entfernen. Bei 360°zahn raten wir grundsätzlich davon ab, die amalgamfüllung entfernen zu lassen, wenn der patient keinerlei beschwerden hat. .dann gefährlich, wenn sie eine amalgamfüllung entfernen lassen, da es hier verdampft und vom organismus kosten einer kunststofffüllung als auch die möglichen kosten einer amalgamfüllung. Ebenso fragen die leute, was kostet es amalgam zu entfernen? Deswegen verbieten immer mehr länder deren einsatz. 280 bis 380 euro je zahn.

Bei vorhandenen amalgamfüllungen besteht die gefahr, dass sich quecksilber aus den füllungen löst und verschluckt oder eingeatmet wird. Beachten sie bitte auch, dass die entfernung von intakten amalgamfüllungen keine kassenleistung ist. Kosten der entfernung von amalgam jetzt informieren. Warum dieser füllstoff in ihrem mund so schädlich ist und warum sie ihre alten plomben lieber. Amalgamfüllungen sind kostengünstig und langlebig, daher wurden diese auch so häufig verwendet. Solltest du sie entfernen lassen oder sind sie doch gar nicht so schlimm? Amalgamfüllungen bringen einige vorteile mit. Ich h<abe amalgamfüllungen, die älter sind als 40 jahre und die sind immer noch in ordnung. » die krankenkasse übernimmt die kosten für die amalgamfüllung. Außerdem kann das quecksilber über die mundschleimhaut. Wenn sie diese zahnfüllungen entfernen lassen, erhalten sie eine neue füllung, welche je nach. Amalgamfüllungen bestehen etwa zur hälfte aus quecksilber und metallpulver. Deswegen tragen sie auch nicht die kosten für den kunststoff bei einer füllung an backenzähnen!

Die amalgamfüllung ohne schutzmaßnahmen zu entfernen, würde zu einer weiteren erheblichen belastung durch die. Amalgamfüllungen sind kostengünstig und langlebig, daher wurden diese auch so häufig verwendet. Ist das entfernen von amalgamfüllungen schädlich für die gesundheit? Kosten der entfernung von amalgam jetzt informieren. Ebenso fragen die leute, was kostet es amalgam zu entfernen?

Amalgamsanierung Amalgamfullungen Sicher Entfernen Dorow Clinic
Amalgamsanierung Amalgamfullungen Sicher Entfernen Dorow Clinic from www.dorow-clinic.de. Klick hier um mehr zu erfahren!
Die gesetzliche krankenkasse übernimmt im seitenzahnbereich die kosten für amalgamfüllungen. Zur verfügung stehen unterschiedliche, funktionelle wie ästhetische. Sind füllungen aus amalgam gesundheitsschädlich? Ich würde gerne erst einmal wissen, wieviel die entfernung des amalgams (5 zähne) kostet??? Amalgamfüllungen sind kostengünstig und langlebig, daher wurden diese auch so häufig verwendet. Amalgam ist eine legierung aus quecksilber, silber, kupfer und zinn. » die krankenkasse übernimmt die kosten für die amalgamfüllung. Amalgamfüllungen bringen einige vorteile mit.

Welche kosten entstehen bei der amalgamentfernung? Eine amalgamausleitung muss heute generell mit einer sanierung der. Die gesetzliche krankenkasse übernimmt im seitenzahnbereich die kosten für amalgamfüllungen. Ich h<abe amalgamfüllungen, die älter sind als 40 jahre und die sind immer noch in ordnung. Sind füllungen aus amalgam gesundheitsschädlich? Bei 360°zahn raten wir grundsätzlich davon ab, die amalgamfüllung entfernen zu lassen, wenn der patient keinerlei beschwerden hat. Amalgamfüllungen sollten nur unter besonderen vorsichtsmaßnahmen entfernt werden. Solltest du sie entfernen lassen oder sind sie doch gar nicht so schlimm? Amalgam ist eine legierung aus quecksilber, silber, kupfer und zinn. Amalgamfüllungen bringen einige vorteile mit. Ist eine amalgamfüllung undicht, dann muss diese entfernt werden man spricht von amalgamentfernung und nicht. Wenn sie diese zahnfüllungen entfernen lassen, erhalten sie eine neue füllung, welche je nach. Wieviel kostet es, wenn man sich 5 (größere) amalgamfüllungen entfernen lassen möchte?

Zur verfügung stehen unterschiedliche, funktionelle wie ästhetische. Wer eine amalgamfüllung hat, sollte sie nicht ohne anlass entfernen lassen. » die krankenkasse übernimmt die kosten für die amalgamfüllung. Amalgam ist eine legierung aus quecksilber, silber, kupfer und zinn. Mir wurden vor etwa 5 jahren alle amalgamfüllungen rausgenommen und durch zementfüllungen ersetzt.

Kosten Der Amalgamsanierung Myzahnarzt Com
Kosten Der Amalgamsanierung Myzahnarzt Com from myzahnarzt.com. Klick hier um mehr zu erfahren!
Die amalgamfüllung ist eine metallfüllung aus silber, zinn, kupfer und quecksilber. Zur verfügung stehen unterschiedliche, funktionelle wie ästhetische. Soll eine amalgamfüllung entfernt werden, isoliert der zahnarzt mit einem spanngummi den zahn. Amalgamfüllungen sollten nur unter besonderen vorsichtsmaßnahmen entfernt werden. Ebenso fragen die leute, was kostet es amalgam zu entfernen? 280 bis 380 euro je zahn. Die kosten richten sich nach umfang der behandlung da amalgamfüllungen oft sehr alt sind und nicht nur allein aus der tatsache, dass. .dann gefährlich, wenn sie eine amalgamfüllung entfernen lassen, da es hier verdampft und vom organismus kosten einer kunststofffüllung als auch die möglichen kosten einer amalgamfüllung.

Amalgamfüllungen sollten nur unter besonderen vorsichtsmaßnahmen entfernt werden. Bei 360°zahn raten wir grundsätzlich davon ab, die amalgamfüllung entfernen zu lassen, wenn der patient keinerlei beschwerden hat. Außerdem kann das quecksilber über die mundschleimhaut. Amalgam ist eine legierung aus quecksilber, silber, kupfer und zinn. Amalgamfüllungen sind kostengünstig und langlebig, daher wurden diese auch so häufig verwendet. Solltest du sie entfernen lassen oder sind sie doch gar nicht so schlimm? Wenn sie diese zahnfüllungen entfernen lassen, erhalten sie eine neue füllung, welche je nach. Warum dieser füllstoff in ihrem mund so schädlich ist und warum sie ihre alten plomben lieber. Ist das entfernen von amalgamfüllungen schädlich für die gesundheit? Es ist das am längsten verwendete und. Eine amalgamfüllung dient dazu, zahndefekte preiswert und einfach zu beheben. Kosten der entfernung von amalgam jetzt informieren. Ebenso fragen die leute, was kostet es amalgam zu entfernen?

Amalgamfüllung Entfernen Kosten: Wenn du keine gesundheitlichen beeinträchtigungen hast würde ich das amalgam nicht entfernen.

Baca juga :

No comments:

Post a Comment

Blogroll 2

to Top